[안양 수면치과] 수면마취로 사랑니

안녕하세요 안양수면치과병원 연세백스치과병원 원장 안병준입니다. 치료 과정이 무서울지 모르겠습니다.

솔직히 매복 사랑니 뽑는거 하나도 무섭지 않고 마취하면 빼도 아프지 않고 입을 벌리고 소리를 내는 불편함만 참으면 된다 치료중 , 치아를 갈거나 치아를 쪼갤 것입니다. 존재하지 않는다.

내가 말할 수 있는 것은 내가 사랑니 발치에 대해 동네 최고의 치과의사는 아니지만 사랑니 발치에 대해 가장 덜 무서운 점은 내가 자신감이 있다는 것입니다. .

진정제와 마취제를 이용한 치료 사례를 정기적으로 포스팅하는데, 오늘은 진정제를 사용하여 사랑니와 여분의 치아를 한 번에 제거한 환자의 이야기를 들려드리고자 합니다.

너무 아파서 다른 치과에서 사랑니를 못 뽑았는데…. .

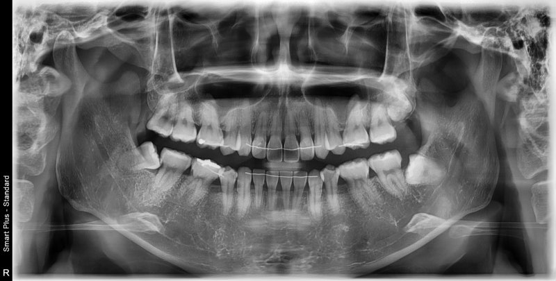
사랑니 발치를 위해 내원한 환자분의 사연입니다. 간단한 구강검진에도 메스꺼움 때문에 입을 보는 것조차 힘들었습니다. 이전에는 스케일링이 어렵다고 하셨는데 사랑니가 심하게 나와서 제거해야 했습니다. 이런 일이 있다는 건 알지만 수면 마취를 하지 않으면 메스꺼움이 꽤 심하기 때문에 걱정할 것이 많다고 생각합니다. 메스꺼움의 원인은 다양하기 때문에 단순히 수면마취로 해결되지 않는 심한 메스꺼움인 경우도 있지만, 이전 치과 치료의 트라우마나 나쁜 기억으로 인한 반사적 거부반응으로 메스꺼움이 나타나는 분들은 수면마취로 메스꺼움을 줄일 수 있습니다. 이 환자의 경우 양치질을 하거나 식사를 할 때 토하지 않는 사람이었고, 진정마취로 정서적 안정을 취했다면 진정이 일어나지 않았을 것으로 판단했다. 발치 전 CT 영상 분석입니다 안전한 발치를 위해서는 진정 및 마취 전 충분한 분석이 필요합니다 수면마취 시간을 최소화하고 안전하게 발치하는 방법을 확인하세요 이것은 환자의 엑스레이입니다. 누워있는 사랑니 2개와 위의 과잉치까지 볼 수 있습니다. 이 환자분도 오른쪽 위 사랑니 옆에 여분의 치아가 있었습니다. 사진에 미니 조개가 보이시나요? ^^) 사랑니 옆 오버레이 입니다. 소요 시간은 마취 준비 및 기상 1시간 + 발치 1시간입니다. 아니나 다를까 1차 구술 시험은 내가 할 때보다 덜 구역질이 나고 환자와 의사팀이 많이 고생했지만 후송은 순조롭게 진행됐다. 진정 후 사랑니 발치 사진입니다. 위, 아래, 좌우 사랑니 흔적이 있는데 발치 후 엑스레이 사진으로 뼈를 최소한으로 제거하고 치아를 발치하였기 때문에 치아의 흔적만 보입니다. 마취가 풀린 후에는 치료 전과 후의 기억이 없기 때문에 환자도 치료가 끝난 것처럼 일어나기를 좋아합니다. https://blog.naver.com/dentist_ahn/222762850355 연세백스치과병원 수면치료 후기 모음 연세배스치과병원 안양치과병원 수면치료 모음 blog.naver.com 사랑니 발치 외에도 근관 치료, 치과 임플란트 등과 같은 다른 치과 치료도 진정 및 마취하에 수행할 수 있습니다. 수면마취?저희치과에 많은 분들이 후기를 남겨주시고 남겨주신 댓글들을 정성스럽게 모아놓은 글이 있으니 수면치과치료가 궁금하시다면 꼭 보시길 추천드립니다. 안양 수면마취치과 연세베세치과 입니다. 수면마취에 대해 궁금하신 사항이 있으시면 아래 네이버플레이스 링크를 클릭해주세요. 설명하겠습니다. ^^ 경기도 안양시 동안구 평촌대로 223번길 52 원천빌딩 4층 연세베스트치과의원